
40代の人におすすめの 目立たない入れ歯はありますか 神奈川県茅ヶ崎 藤沢 平塚市の入れ歯なら岩田歯科医院へ

若くして入れ歯になってしまった方へ 神戸市にある木下歯科医院 神戸の精密入れ歯専門外来 木下歯科医院
30代 40代の若い方の入れ歯について 東京千代田区のドイツ式入れ歯専門 稲葉歯科医院
入れ歯 若い 女性 のギャラリー

症例集 福岡入れ歯専門研究所 博多プライベート歯科運営の福岡の精密入れ歯 義歯の相談所
Q Tbn And9gcqkfm Yerid1h1vthtp6p8157 13fbn4ybir Viw7gkmn5e01wo Usqp Cau

患者様の声 函館市の歯科 なしき歯科医院

30代で総入れ歯という場合もあるのでしょうか 神奈川県茅ヶ崎 藤沢 平塚市の入れ歯なら岩田歯科医院へ

若い人にも人気 の目立たない 痛みの少ない入れ歯 六本木のあおばデンタルクリニック 磁性アタッチメント

美しい若い女性は入れ歯を正しくあなたの歯の世話をする方法を説明します の写真素材 画像素材 Image

バレない パートナーにも気づかれない 安心の入れ歯 総入れ歯専門のパリムデンタルクリニック

入れ歯 部分入歯の症例 事例 実例 入れ歯でお悩みの方へ入歯 義歯専用症例紹介サイト

新しい総入れ歯を入れるのですが 平木歯科医院 山陽小野田市
遠い所から来てくれた 入れ歯の患者さん 新潟市の歯医者 歯科 入れ歯 スポーツマウスガードなら りんご歯科医院

Q 女性向けの見た目のいい入れ歯はありますか 埼玉の入れ歯専門歯科 福永歯科医院

パーシャルパラレルミリング義歯 小机歯科医院 横浜市港北区 マイクロスコープによる診療

最新の総入れ歯 部分入れ歯の事なら和歌山市の小西歯科クリニックへ

若い人にも人気 の目立たない入れ歯 義歯 岐阜市の長良きとう歯科 コーヌスクローネ 磁性アタッチメント

入れ歯 部分入歯の症例 事例 実例 入れ歯でお悩みの方へ入歯 義歯専用症例紹介サイト

気づかれない部分入れ歯をご存じですか 福田歯科クリニックのコラム 京都府長岡京市の歯医者さん 福田歯科クリニック
入れ歯ファイル No 05 普通の義歯からノンクラスプ義歯に変えた女性

美しい若い女性は入れ歯を正しくあなたの歯の世話をする方法を説明します の写真素材 画像素材 Image

実は入れ歯を入れている芸能人トップ5 The Rankers

ほとんど歯がない人の部分入れ歯 40代女性 入れ歯専門の歯科医院 東京池袋の萩原歯科医院

歯がどうなったら入れ歯やインプラントにした方がいい 相談すべきタイミングは 神奈川県茅ヶ崎 藤沢 平塚市の入れ歯なら岩田歯科医院へ
Q Tbn And9gcthdydfdjuu1jpbgnjn3gdrr4lufz50kw9zzitma4ugbr4lxesj Usqp Cau

入れ歯 青柳歯科

症例集 福岡入れ歯専門研究所 博多プライベート歯科運営の福岡の精密入れ歯 義歯の相談所

豊中市の歯医者 日本歯周病学会認定専門医 中垣歯科医院 噛み合わせ 痛みに配慮した治療など体に優しい歯科医院
Q Tbn And9gct7aqphyonv3qxhydvo2w8eraecpzdne Laqhleuk Jlmrp4a3g Usqp Cau

バネのない義歯 金属床義歯 香川県坂出市の歯科医院 つたに歯科クリニック 予防歯科 無痛治療 口臭治療

30代から入れ歯 何歳から入れ歯になる可能性があるのか 埼玉県さいたま市の入れ歯なら福永歯科医院

初めての入れ歯 装着後5週間の様子 東京都千代田区 稲葉歯科医院 総入れ歯専門サイト

自費診療入れ歯のご案内 にしお歯科

症例集 福岡入れ歯専門研究所 博多プライベート歯科運営の福岡の精密入れ歯 義歯の相談所
総入れ歯で歯並びの気にらないこと

若い人にも人気 の目立たない 痛みの少ない入れ歯 六本木のあおばデンタルクリニック 磁性アタッチメント

入れ歯治療 治療について 表参道駅徒歩6分の歯医者 審美歯科ならニノデンタルオフィス

最新の総入れ歯 部分入れ歯の事なら和歌山市の小西歯科クリニックへ

入れ歯の芸能人22選 ランキング形式 画像付きで紹介 最新版 Rank1 ランク1 人気ランキングまとめサイト 国内最大級

若い方の総入れ歯 東京都千代田区 稲葉歯科医院 総入れ歯専門サイト

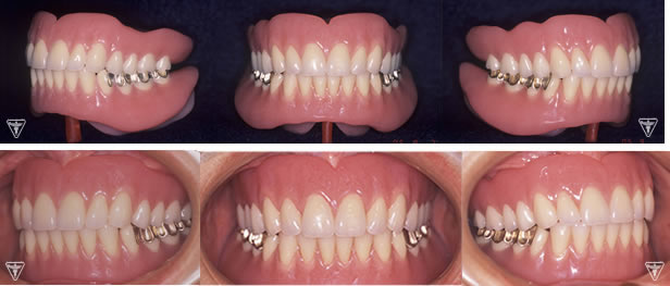
重度歯周病から総入れ歯へ 30代女性 東京都千代田区 稲葉歯科医院 総入れ歯専門サイト

歯医者のトラウマが強く 長い間歯医者へ行けませんでした 50代女性 イギリス在住 東京千代田区のドイツ式入れ歯専門 稲葉歯科医院

症例集 福岡入れ歯専門研究所 博多プライベート歯科運営の福岡の精密入れ歯 義歯の相談所

入れ歯を選択する若い女性 の写真素材 画像素材 Image

見た目が気にならないので女性や若い方にもお勧めします 入れ歯について ドイツ式 部分入れ歯 栃木県佐野市の入れ歯 部分入れ歯なら目黒歯科医院

前歯の入れ歯にかかるはどれくらい ブログ 東京 埼玉入れ歯治療研究所 大山歯科医院監修 部分入れ歯や総入れ歯など

若くして入れ歯になってしまった方へ 神戸市にある木下歯科医院 神戸の精密入れ歯専門外来 木下歯科医院

入れ歯について 治療について 入れ歯 広島市西区の歯科 歯医者なら なぎさ歯科クリニック

症例集 福岡入れ歯専門研究所 博多プライベート歯科運営の福岡の精密入れ歯 義歯の相談所

初めての入れ歯 装着後3週間の様子 東京都千代田区 稲葉歯科医院 総入れ歯専門サイト

総入れ歯 女 若い 微笑 支柱 微笑 口 女 明るい 若い

美顔力 で 美しい顔が甦る 入れ歯 インプラント 噛み合わせ治療なら西村歯科

グリップデンチャー導入 嘔吐反射のある方も安心の無口蓋義歯 ウエストデンタルクリニック

総入れ歯にするタイミングについて 残せる歯があるかどうか不安です 50代女性 東京千代田区のドイツ式入れ歯専門 稲葉歯科医院

60代 女性 総入れ歯 総義歯 治療 上川歯科医院

前歯の入れ歯にかかるはどれくらい ブログ 東京 埼玉入れ歯治療研究所 大山歯科医院監修 部分入れ歯や総入れ歯など

若くして入れ歯になってしまった方へ 神戸市にある木下歯科医院 神戸の精密入れ歯専門外来 木下歯科医院

40代の人におすすめの 目立たない入れ歯はありますか 神奈川県茅ヶ崎 藤沢 平塚市の入れ歯なら岩田歯科医院へ

特大入れ歯義歯を持つかなり若い女性 の写真素材 画像素材 Image

30代 40代で入れ歯になってしまう 原因と対応策 補綴学会認定専門医が監修する情報サイト 入れ歯ナビ

特大入れ歯義歯を持つかなり若い女性 の写真素材 画像素材 Image

若い方の総入れ歯 東京都千代田区 稲葉歯科医院 総入れ歯専門サイト

前歯の入れ歯にかかるはどれくらい ブログ 東京 埼玉入れ歯治療研究所 大山歯科医院監修 部分入れ歯や総入れ歯など

症例集 福岡入れ歯専門研究所 博多プライベート歯科運営の福岡の精密入れ歯 義歯の相談所
入れ歯になると見た目にすぐわかるものでしょうか 30代前半 女性 東京千代田区のドイツ式入れ歯専門 稲葉歯科医院

No 23 前歯の見た目 審美性 を重視してくださり感謝しています 40代 女性 千葉県 入れ歯 義歯のお悩み相談ができる歯科医院 千葉県船橋市

前歯の入れ歯にかかるはどれくらい ブログ 東京 埼玉入れ歯治療研究所 大山歯科医院監修 部分入れ歯や総入れ歯など

金属のみえない自費の入れ歯を入れたい 30代女性 東京千代田区のドイツ式入れ歯専門 稲葉歯科医院

入れ歯つくるなら保険診療の入れ歯してから作り替えるのが Newsポストセブン

Q 女性向けの見た目のいい入れ歯はありますか 埼玉の入れ歯専門歯科 福永歯科医院

横山歯科クリニック 総入れ歯

自分の歯と一緒と思える総入れ歯 30歳女性 治療から1ヶ月を迎えて 東京都千代田区 稲葉歯科医院 総入れ歯専門サイト

ほとんど歯がない人の部分入れ歯 40代女性 入れ歯専門の歯科医院 東京池袋の萩原歯科医院

若い人にも人気 の目立たない入れ歯 義歯 岐阜市の長良きとう歯科 コーヌスクローネ 磁性アタッチメント

30代からの入れ歯 入れ歯について 栃木県佐野市の入れ歯 部分入れ歯なら目黒歯科医院

不良インプラントの症例 岡山市 北区 の歯医者 歯科 インプラントなら明生会歯科

10代 代で歯を失ってしまったとき 入れ歯を選ぶべき3つの理由 気になる入れ歯の費用や種類 インプラントとの違いなど

No 23 前歯の見た目 審美性 を重視してくださり感謝しています 40代 女性 千葉県 入れ歯 義歯のお悩み相談ができる歯科医院 千葉県船橋市
入れ歯になると見た目にすぐわかるものでしょうか 30代前半 女性 東京千代田区のドイツ式入れ歯専門 稲葉歯科医院

15万円 若い人にも人気 の目立ちにくい入れ歯 義歯 本郷歯科クリニック さいたま市 東宮原駅近く の歯医者
Q Tbn And9gcqknwl2peuunqx5 Lzxbywhpasz6wrbkj5jgfmf9y9ewy10cqwc Usqp Cau
E ラインの改善された総入れ歯

重度歯周病から総入れ歯へ 30代女性 東京都千代田区 稲葉歯科医院 総入れ歯専門サイト

若い人にも人気 の目立たない 痛みの少ない入れ歯 六本木のあおばデンタルクリニック 磁性アタッチメント

15万円 若い人にも人気 の目立ちにくい入れ歯 義歯 本郷歯科クリニック さいたま市 東宮原駅近く の歯医者

症例集 福岡入れ歯専門研究所 博多プライベート歯科運営の福岡の精密入れ歯 義歯の相談所

ほとんど歯がない人の部分入れ歯 40代女性 入れ歯専門の歯科医院 東京池袋の萩原歯科医院

若くして入れ歯になってしまった方へ 神戸市にある木下歯科医院 神戸の精密入れ歯専門外来 木下歯科医院

No 18 見た目もよく 周りの歯を削らない入れ歯で良かったです 30代 女性 市川市 入れ歯 義歯の専門医によるお悩み相談 千葉県船橋市

若い人にも人気 の目立たない 痛みの少ない入れ歯 六本木のあおばデンタルクリニック 磁性アタッチメント

入れ歯治療例 神戸精密入れ歯歯科室 オーダーメイド精密義歯 神戸市 東灘区 入れ歯専門 費用 総入れ歯 義歯

代で総入れ歯の人も 抜けた歯を放置することで起こるリスクとは 医科歯科 Com コラム

若い女性におすすめです ザ インプラントクリニック福岡

30 40代の若い女性の方への入れ歯 神戸市兵庫区の三戸岡歯科医院

前歯6本 入れ歯の種類について教えてください 40代女性 東京千代田区のドイツ式入れ歯専門 稲葉歯科医院

自然に見える美しい仕上がりで 女性や若い方にもご満足いただいています 当院が選ばれる理由 院内歯科技工士 神戸市垂水区の歯医者 歯科 インプラント 入れ歯 コーヌス義歯 なら由良歯科医院

北四番丁で入れ歯なら ルミエールデンタルクリニック
咬合挙上を目的とした暫間入れ歯 新潟市の歯医者 歯科 入れ歯 スポーツマウスガードなら りんご歯科医院
30代 インプラントと総入れ歯どちらがよいでしょうか 東京千代田区のドイツ式入れ歯専門 稲葉歯科医院

目立たない入れ歯の症例 こうづま歯科医院 ローズ歯科医院

若い 美しい女性 歯科医 保有物 総入れ歯 キャスト モデル ストックイメージ K Fotosearch

40代の人におすすめの 目立たない入れ歯はありますか 神奈川県茅ヶ崎 藤沢 平塚市の入れ歯なら岩田歯科医院へ

大阪で入れ歯ならmtコネクター 開発者の入れ歯職人 宮野たかよし

入れ歯 義歯 制作の流れ 上川歯科医院 住吉 歯医者 歯科



